
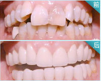
在口腔修复制作烤瓷牙的传统技术中,须要经历牙齿磨削制备,制取口腔模型,制作临时牙冠,口内设计配色等多道工序,还要外送烤瓷加工厂。等到真正在口内试戴,至少要一个星期时间。要是其间遇到意外情况诸如模型不准,修复体与口腔不密合,颜色不协调等需返工重做,往往不能让患者一次满意。美国3M公司经过不懈的研究与努力,终于成功开发出一款私人定制级的皓瓷牙,每颗牙齿都由美国3M公司的高等技师个性化打造,与患者口腔环境充分融合。随着国内患者对于皓瓷牙品质的需求越来越高,博爱口腔科在半年前成功引进该款皓瓷牙,并结合多年临床经验,在多名口腔医生的共同努力下,联合研制出适合中国人口腔环境的“3D臻美”皓瓷牙。

强韧性与钻石般硬度的完好结合
边缘无孔密合度达到高完好程度
达到小备牙、技术水平

3D臻美皓瓷牙制作系统,集3D勘测、3D成像、3D研磨、3D抛光于一体,由计算机辅助设计,光学仪扫描取像,电脑软件3D模拟成像,可预先从计算机三维模拟中看到满意的美牙状态,然后送由美国3M公司高等技师工作室进行加工,每人每天只制作三颗,真正实现了每一颗都是私人定制的杰作。
美国lava3D臻美皓瓷牙技术堪称全瓷牙中的钻石经典,其品质和制作水准,成为新的美学修复方式之一,其自主核心技术,克服传统烤瓷冠的种种缺陷,缔造新一代数字美牙科技的方向,彰显主人的高尚气质与精神。
与其它加工方法相比,美国lava3D臻美皓瓷牙的管理工艺精细严格,在提纯、加工、预烧结、切削、烧结等各个步骤上,均道道精耕细作,工序严谨优良。令3D臻美皓瓷牙实现精细的边缘密合度,在患者口中,实现边缘匹配度和装戴舒适度,避免产生普通烤瓷冠
常见的牙龈 “灰线”和密合度不佳造成的各种牙齿问题。
美国lava3D臻美皓瓷牙源自美国精工企业的高科技产物,3D建模,融合计算机CAD/CAM计算机数字技术、全瓷材料和烧结技术,其内冠层的通透强韧,外冠层的生动天然,色泽美奂、外观突出,让牙齿更具天然魅力。加之是医师专属个性设计,融入个人求美需求,让牙齿更具有个人特色,数字化自动雕琢修复体,如同天生的牙齿一样具有自然的个性美。
个性设计,更多融入个人求美需求,让牙齿更具有个人
特色,数字化自动雕琢修复体,而且与天生的牙齿一样具
有自然的个性美。
美国lava3D臻美皓瓷牙源自美国精工企业的高科技产物,3D建模,融合计算机CAD/CAM计算机数字技术、全瓷材料和烧结技术,其内冠层的通透强韧,外冠层的生动天然,色泽美奂、外观突出,让牙齿更具天然魅力。加之是医师专属个性设计,融入个人求美需求,让牙齿更具有个人特色,数字化自动雕琢修复体,如同天生的牙齿一样具有自然的个性美。
美国lava3D臻美皓瓷牙每一颗都配有一张配置ID
的“身份证”, 有独一的编码,消费者可以登录网站验明真伪,即可验明
3D臻美皓瓷牙在外观和性能上更优于普通的全瓷牙,它是一种透明式骨架,层次、色泽如真牙,对牙龈无刺激,在光线的反射下即使在舞台强光下也不会反青。特别是经过高等技师的个性化设计,使其拥有很好的生物相容性,逼真的色泽。
全电脑即刻扫描、设计、制作,整体性好,采用3MESPE技术和精细的烧结前支架制程,牙冠和牙桥拥有较高的装戴密合度,并自然的融合于口腔环境中及相邻的牙齿齿列里。
透光性很好,即使是情况较差的患牙条件下,相对的薄层支架也可以做出很好的构筑,以26阶牙色层次化类比,为你调出适合牙色,更采用三维数字成型,使之呈现长久天然光泽。
具有强韧性和钻石般强硬的表面,其使用的氧化锆材料已被用于航天飞机的热屏蔽、保时捷汽车制动盘等的制作上,令修复后牙齿坚固耐磨,如能按医嘱进行保养,可相伴终生。
相比传统的修复,只损失较少的健康牙体组织,由于在修复过程中保留了牙釉质,修复后敏感发生率极低不对牙体和口腔造成任何磨损,同时避免传统金属烤瓷牙所造成的发黑、发炎、红肿等现象。
由经验丰富的口腔科医生在短时间内根据患者的口腔条件、脸型、肤色,设计出符合口腔生态美学的修复方案,由高等技师一颗颗个性化锻造打磨出品,达到了自然、舒适、和谐、绿色的高要求。
每一颗都配有一张编码“身份证”,消费者可以登录网站验明真伪,即可验明详细的生产时间以及制作工艺。